Cosmetic and Restorative Patient Cases
Slide images right or left to see the before and after results.

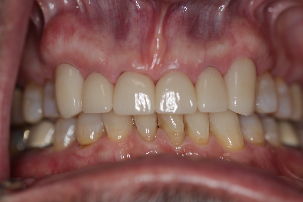
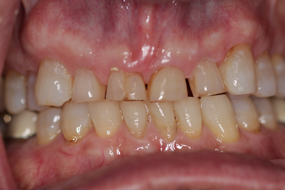
Patient requested to make her smile look more even with less wear because it reminded her of her age. We were able to rejuvenate her smile with a more youthful shape and color using beautiful all-ceramic crowns.

Patient requested to make her smile look more even with less wear because it reminded her of her age. We were able to rejuvenate her smile with a more youthful shape and color using beautiful all-ceramic crowns.

Patient had 2 front bridges that never looked right for the past 20 years. She was elated to finally have her diastema closed and loves the new shape/color of her restorations.

Patient had 2 front bridges that never looked right for the past 20 years. She was elated to finally have her diastema closed and loves the new shape/color of her restorations.

Patient had severe dental anxiety and phobia. She had been neglecting her teeth for the past 10 years but finally managed the courage to give our office a call. We were able to fix and restore all her teeth under sedation in only 2 extended appointments!

Patient had severe dental anxiety and phobia. She had been neglecting her teeth for the past 10 years but finally managed the courage to give our office a call. We were able to fix and restore all her teeth under sedation in only 2 extended appointments!

Patient had severely worn down teeth with some moderate pain. A full mouth rehabilitation was needed to rebuild her teeth to proper shape and size. Patient was ecstatic that her teeth felt much more comfortable than ever before.

Patient never liked the spacing of his front teeth. A mixture of crowns and veneers allowed our ceramicist to create stunning restorations that he loves smiling all the time now.

This case features a patient who wanted a brighter, more even, and more confident smile. Using custom-crafted porcelain crowns, we achieved improved symmetry, natural color and translucency, proper shape and alignment, and an overall refreshed, healthy appearance.